హైపోనేట్రిమియా అంటే ఏమిటీ.? మరణాలు సంభవించే ప్రమాదముందా.?
మన శరీరంలోని ప్రతీ అవయవానికి శక్తినిచ్చేది రక్తం. అదెలా అంటే రక్తకణాలు ఆక్సిజన్తో పాటు శరీరంలోని ఏ అవయవానికి కావాల్సిన లవణాలను వాటికి అందిస్తూ.. అక్కడి నుంచి వ్యర్థాలను గుండెకు చేరవేసి శుద్ది...
గొంతు నోప్పితో ఏమీ మింగలేకపోతున్నారా.? కారణాలు తెలుసా.?
గొంతు నొప్పి లేదా గొంతు వాపుతో బాధపడుతున్నారా.? అయితే మీ బాధ మాకు అర్థమైంది. గొంతునోప్పి లేదా వాపుతో మీరు ఎలాంటి ఆహారం తీసుకున్నా మీ బాధ వర్ణనాతీతం. ఆహారమే కాదు నీళ్లు.....
కిడ్నీ ఫెయిల్యూర్: సంకేతాలు, కారకాలు, రకాలు, లక్షణాలు
మానవుడి శరీరంలో ప్రతీ అవయవం అత్యంత కీలకమైనదే. ఏది పనిచేయకపోయినా అది ప్రమాద హేతువే. కంటికి కనిపించే అవయవాలే కాదు కనిపించని వాటిని కూడా జాగ్రత్తగా పరిరక్షించుకోవడం మన బాధ్యత. అయితే మనిషి...
ఎండోకార్డిటీస్ అంటే ఏమిటీ?: లక్షణాలు, కారకాలు, నిర్థారణ, చికిత్స
గుండె కవాటాలు, గుండె గది లోపలి పొర భాగాన్ని ఎండోకార్డియమ్ అని పిలుస్తారు. ఈ భాగంలో లేదా గుండె కవాటాలు, లోపలి పోరబాగంలో కలిగే వాపును ఎండోకార్డిటిస్ అంటారు. మరో విధంగా చెప్పాలంటే...
మూర్ఛవ్యాధి: లక్షణాలు, కారకాలు, నిర్థారణ, చికిత్స
మూర్ఛ అనేది నాడీ సంబంధిత ఒక స్థితి, ఇది అప్రేరేపితంగా సంభవిస్తూనే, పునరావృత మూర్ఛలకు కారణమవుతుంది. మూర్ఛ అనేది మీ మెదడులో సంభవించే అసాధారణ విద్యుత్ కార్యకలాపాల ఆకస్మిక రద్దీ. న్యూరాన్ లలో...
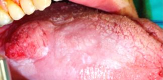
నాలుక క్యాన్సర్: లక్షణాలు, కారకాలు, చికిత్స
క్యాన్సర్ అనేది శరీరంలోని ఒక నిర్దిష్ట అవయవంలో కణాల అనియంత్ర పెరుగుదల ఫలితంగా ఏర్పడే ఒక ముద్ద లేదా కణితి. ఈ కణాల అనియంత్రిత విభజన సంభవించే నిర్దిష్ట ప్రాంతాలపై ఆధారపడి ఫలానా...
చలి తీవ్రత: హఠాత్తుగా గుండెపోటు వచ్చే ప్రమాదం..
శీతాకాలం వచ్చిందంటే చాలు పలు వ్యాధులు ముసురుతుంటాయి. ఈ క్రమంలో వచ్చే ఏ వ్యాధినైనా సీజనల్ వ్యాధిలాగానే పరిగణించి తేలిగ్గా తీసుకోవద్దు. ఇక శీతాకాలంలో గ్యాస్, అసిడిటీ సమస్యలు కూడా అధికం. మనం...
రెస్ట్ లెస్ లెగ్స్ సిండ్రోమ్ అంటే ఏమిటి? కారణాలు, చికిత్స
రెస్ట్ లెస్ లెగ్స్ సిండ్రోమ్ ఆర్ఎల్ఎస్ (RLS) అన్నది ఒక నాడీ సంబంధ రుగ్మత. దీనిని విల్లీస్-ఎక్ బోమ్ వ్యాధి అని కూడా అంటారు. ఈ వ్యాధిగ్రస్తుల కాళ్ళలో అసహ్యకరమైన అనుభూతులను కలిగిస్తుంది....
ఆస్టియోపోరోసిస్ అంటే ఏమిటి? ఆస్టియోపెనియా అన్నా అదేనా?
ఆస్టియోపోరోసిస్ అనేది ఎముకలను ప్రభావితం చేసే ఒక పరిస్థితి. దీని పేరు లాటిన్ నుండి ఏర్పాటు చేశారు. లాటిన్ లో"పోరస్’’ అంటే ‘‘ఎముకలు". కాగా అస్టియోపోరోసిస్ అనే వ్యాధి సోకిన వారిలో ఎముకలు...
క్షయవ్యాధి (టిబి) అవలోకనం: కారణాలు, లక్షణాలు, చికిత్స
క్షయ, టిబి అనేది మైకోబాక్టీరియం ట్యూబర్క్యులోసిస్ అనే బ్యాక్టీరియా వల్ల కలిగే అంటువ్యాధి. ప్రపంచ ఆరోగ్య సంస్థ గ్లోబల్ ట్యూబర్క్యులోసిస్ నివేదిక ప్రకారం, ప్రపంచవ్యాప్తంగా అత్యధిక అంటువ్యాధి సంబంధిత మరణాల రేటుకు క్షయ...




































