బొప్పాయి గింజలు: ఆరోగ్య రసహ్యాలు, ఉపయోగ విధానాలు - Papaya Seeds: Health Secrets...
బొప్పాయి పండు దాని రుచి, పోషకాహారం మరియు ఆరోగ్య ప్రయోజనాలకు ప్రసిద్ధి చెందింది. ఇది ఒక ఉష్ణ మండల పండు మాత్రమే కాదు పోషకాలతో నిండిన అద్భుతమైన గని అన్నా అతిశయోక్తి కాదు....
కొలెస్ట్రాల్ టెస్ట్: ఎవరెవరు ఎప్పుడెప్పుడు పరీక్షించుకోవాలి.? - Cholesterol Testing: Who Needs to...
మనిషి తీసుకునే ఆహారంలో మెండుగా పోషకాలు ఉండటంతో పాటు అవసరం లేని పదార్థాలను నిషేధించాలని చాలా మందికి తెలియదు. పోషకాలు, విటమిన్లు, లవణాలు, ఖనిజాలు ఉంటే చాలు అనుకుని చాలా మంది చాలా...
తీవ్రమైన దగ్గు గుండె నిలిచిపోవడానికి సంకేతం కావచ్చు! - Cough May Be an...
దీర్ఘకాలంగా దగ్గు ఇబ్బంది పెడుతోందా.? అయినా దగ్గే కదా, అదే తగ్గిపోతుందిలే అంటూ నిర్లక్షంగా వదిలేసారా.? గృహ చిట్కాలు వాడుతూ వాటి సమస్య తాతాల్కింగా పరిష్కారం అయ్యేలా చేస్తున్నారా.? నిజానికి జలుబుతో పాటు...
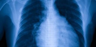
కార్డియోమెగలీ అంటే ఏమిటీ? కారకాలు, చికిత్స, ఇంకా - Cardiomegaly (Enlarged Heart): Causes,...
విస్తరించిన గుండె అంటే ఏమిటి? What is an enlarged heart?
కార్డియోమెగలీ అంటే గుండె విస్తరించడం. మరో విధంగా చెప్పాలంటే.. గుండె సాధారణం కంటే పెద్దదిగా ఉందని అర్థం. కండరాలు గట్టిపడేలా పని...
కర్ణిక సెప్టెల్ లోపమంటే ఏంటీ.? రకాలు, నిర్థారణ, చికిత్స, నివారణ - What Is...
కర్ణిక విభాజక లోపం దీనినే ఆంగ్లంలో అట్రియా సెప్టల్ లోపం (ASD) అని కూడా అంటారు. గుండెలోని నాలుగు విభాగాలలో పైనున్న రెండు ఎగువ గదలను అట్రియా అని అంటారు. ఈ రెండింటికీ...
ఏ గుండె జబ్బులకు ఏ రకమైన బ్లడ్ థిన్నర్ ఇస్తారో తెలుసా? - Type...
బ్లడ్ థినర్స్.. రక్తన్ని పలుచబర్చే మాత్రలు గురించి గుండె సంబంధిత వ్యాధులు సంక్రమించిన వారికి లేదా గుండెకు అందే రక్తం చిక్కబడిన వారికి (వయస్సు పైబడిన వారికి) కొత్తగా చెప్పనవసరం లేదు. వీరితో...
బాత్రూంలో ఎక్కువగా గుండెపోటు ఎందుకు సంభవిస్తుందో తెలుసా? - Heart Hazards: A Closer...
కార్డియాక్ అరెస్ట్ ఎక్కువగా తెల్లవారుజాములో సంభవించే అవకాశాలు ఉన్నాయి. ఇది తెల్లవారుజాము నిద్రలోనూ సంభవించవచ్చు, లేదా నిద్ర నుంచి మేల్కోని బాత్రూంలోకి అడుగుపెట్టిన తరువాత ఎక్కువ మందిలో సంభవిస్తుంది. అలాగని ఇది కేవలం...
గుండెపై మానసిక అరోగ్య ప్రభావం: వ్యాయామంతో రెండూ పథిలం - Holistic Fitness: Cardiovascular...
శారీరిక ఆరోగ్యంతో పాటు మానసిక ఆరోగ్యాన్ని జాగ్రత్తగా చూసుకోవడం గుండె అరోగ్యం నిర్వహణతో పాటు హృదయ సంబంధిత వ్యాధుల నివారణలో అత్యంత కీలకం. హృదయ రుగ్మతలను ఎదుర్కోన్న వ్యక్తికి మానసిక ఒత్తిడి రావడంలో...
హృదయ సంబంధిత వ్యాధులు- గుర్తింపు-చికిత్సలు-నివారణలు - Cardiovascular diseases: diagnosis, treatment, prevention in...
కార్డియో వాస్కులర్ వ్యాధులు (సివిడీ) అంటే హృదయ సంబంధ వ్యాధులు. హృదయం అంటే గుండె అని అందరికీ తెలిసిందే. కార్డియో వాస్కులర్ వ్యాధి కారణంగా గుండె, రక్త నాళాలను ప్రభావితం అవుతాయి. అమెరికాలోని...
కరోనరీ కాల్షియం స్కాన్ ఎవరికి అవసరమో తెలుసా.? - CT Heart Scan -...
సిటీ హార్ట్ స్కాన్, కరోనరీ కాల్షియం స్కాన్ అని కూడా పిలువబడే ఈ స్కానింగ్ ద్వారా హృదయ ధమనుల (ఆర్టరీస్)లో కాల్షియం నిక్షేపాల ఉనికిని గుర్తిస్తారు. కంప్యూటరైజ్డ్ టోమోగ్రఫీ (CT)ని ఉపయోగించి కాల్షియం...



































